Öksürük şikayetiyle hastaneye gitti, midesinden onlarca tenya çıktı

Brezilya’da şiddetli ve geçmeyen öksürük nedeniyle hastaneye başvuran hastanın midesinde beyin ve göze ulaştığı an ölmesine neden olacak onlarca tenya olduğu ortaya çıktı. Normal durumlarda zararsız olan tenyaların beyin ya da göz dokularına girdikleri anlarda ölümle sonuçlanan problemler oluşabiliyor.
Hastanın, domuz tenyasının genç formunun neden olduğu sistiserkoz isimli doku enfeksiyonuna yakalandığı anlaşıldı.
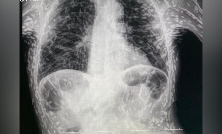
Hastanın röntgeninde yüzlerce beyaz nokta tespit edildi. Bu beyaz noktaların parazitlerin kireçlenmiş kalıntıları olduğu ortaya çıktı.
Hastayı tedavi eden Dr. Vitor Borin de Souza, Twitter’dan yaptığı açıklamada, tenyalara yakalanmamak için yiyeceklerin iyice yıkanması gerektiğini söyledi.
Epilepsi vakalarının yüzde 70’i tenyalar yüzünden
Sistierkozda normalda bağırsaklarda yaşayan tenyaların kas ve beyin gibi dokulara girdiği biliniyor. Tenyalar girdikleri bu dokularda kist gibi şişliklere neden oluyor.
Öte yandan Dünya Sağlık Örgütü, beyinde gelişen domuz tenyası larva kistlerinin dünyanın bazı bölgelerindeki epilepsi vakalarının yüzde 70’inden sorumlu olduğunu tahmin ediyor. Her yıl yaklaşık 2,5 milyon kişinin domuz tenyası ile enfekte olduğu düşünülüyor.



